Tips Nyaman Makan Saat Menggunakan Behel Gigi

Menggunakan behel gigi bukan berarti kamu harus kehilangan kenyamanan saat makan.
Cara Merawat Behel Gigi

Merawat behel gigi bukan hal yang sulit jika dilakukan dengan konsisten dan benar.
Gigi Sudah Berlubang? Ini Solusinya

Gigi berlubang bukan masalah yang bisa dianggap remeh. Dengan penanganan yang tepat
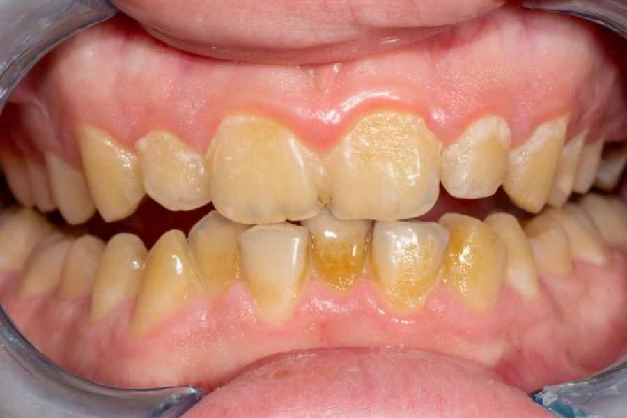
Gigi Sudah Menguning? Ini Solusinya

Gigi menguning bukan masalah yang harus membuat kamu kehilangan rasa percaya diri.
Gigi Sudah Menghitam? Ini Solusinya

Gigi yang menghitam bukan sekadar masalah penampilan, tetapi juga sinyal bahwa gigi
Ini Resiko Tunda Tambal Gigi Berlubang

Menunda tambal gigi berlubang bukanlah ide yang baik. Lubang kecil bisaberubah menjadi masalah
Ciri Kamu Butuhkan Tambal Gigi

Gigi yang tampak baik dari luar belum tentu sehat di dalam. Mengenali ciri awal kerusakan
Ini Alasan Kamu Perlukan Braces

Memakai braces bukan hanya untuk merapikan gigi, tetapi juga sebuah investasi untuk kesehatan
Manfaat Vitamin D untuk Kesehatan Gigi

Vitamin D memiliki peran yang sangat penting dalam menjaga kesehatan gigi dan gusi
Cara Cegah Gigi Berlubang

Gigi berlubang bisa dicegah dengan kebiasaan sederhana seperti menyikat gigi