
Plak gigi sering kali dianggap sepele, padahal jika dibiarkan, lapisan lengket ini bisa menjadi awal dari berbagai masalah mulut. Mulai dari bau mulut, gigi berlubang, hingga radang gusi. Kabar baiknya, ada banyak cara mudah untuk menghilangkan plak gigi, baik secara mandiri di rumah maupun dengan bantuan dokter gigi Malang yang berpengalaman.
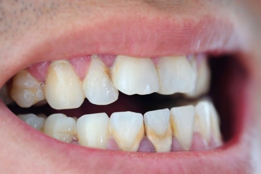
Plak gigi adalah lapisan tipis berwarna bening atau kekuningan yang terbentuk dari sisa makanan dan bakteri. Jika tidak dibersihkan dengan benar, plak dapat mengeras menjadi karang gigi yang sulit dihilangkan hanya dengan menyikat gigi biasa.
Plak yang menumpuk bisa menyebabkan:
Karena itu, menjaga kebersihan gigi sejak dini sangat penting untuk kesehatan mulut jangka panjang.
Menghilangkan plak gigi tidak selalu rumit. Dengan kebiasaan sederhana namun konsisten, hasilnya bisa sangat terasa.
Sikat gigi setidaknya dua kali sehari dengan pasta gigi berfluoride. Gunakan gerakan memutar lembut dan pastikan seluruh permukaan gigi, termasuk bagian belakang, benar-benar bersih.
Benang gigi membantu membersihkan sela-sela gigi yang tidak terjangkau sikat. Sementara itu, obat kumur dapat membantu mengurangi bakteri penyebab plak dan memberikan napas yang lebih segar.
Mengurangi konsumsi makanan manis dan lengket dapat membantu mencegah pembentukan plak. Perbanyak air putih dan makanan berserat seperti buah serta sayur untuk membantu membersihkan gigi secara alami.
Meski perawatan di rumah penting, pemeriksaan rutin ke dokter gigi tetap dibutuhkan. Di sinilah peran dokter gigi Malang menjadi solusi terbaik untuk membersihkan plak yang membandel.
Scaling adalah prosedur pembersihan profesional yang dilakukan oleh dokter gigi untuk mengangkat plak dan karang gigi hingga ke area terdalam. Perawatan ini aman, efektif, dan sangat dianjurkan dilakukan secara berkala.
Pearls Dental Care di Malang hadir sebagai klinik gigi yang mengutamakan kenyamanan dan hasil perawatan yang optimal. Dengan dokter gigi berpengalaman dan peralatan modern, pasien dapat merasakan perawatan gigi yang menyenangkan, termasuk pembersihan plak dan perawatan gigi lainnya sesuai kebutuhan.
Plak gigi memang umum terjadi, tetapi bukan berarti harus diabaikan. Dengan kebiasaan menjaga kebersihan gigi yang baik dan dukungan perawatan profesional dari dokter gigi Malang, masalah plak dapat diatasi dengan mudah. Jika Anda ingin senyum yang lebih sehat dan percaya diri, perawatan rutin di Pearls Dental Care Malang bisa menjadi langkah tepat untuk menjaga kesehatan gigi dan mulut Anda dalam jangka panjang.
Jl. Melati kav II No.32A, Lowokwaru, Kec. Lowokwaru, Kota Malang, Jawa Timur 65141
Jl. Raya Candi VD No.228, Karangbesuki, Kec. Sukun, Kota Malang, Jawa Timur 65149
Copyright © 2026 Pearls Dental Care | Developed by Gleamore.id
Jl. Melati kav II No.32A, Lowokwaru, Kec. Lowokwaru, Kota Malang, Jawa Timur 65141
Senin-Jumat 09.00-21.00
Minggu 09.00-15.00
Jl. Raya Candi VD No.228, Karangbesuki, Kec. Sukun, Kota Malang, Jawa Timur 65149
Senin-Kamis
08.00-14.00 & 15.00-21.00
Jumat 11.00-21.00
Sabtu 08.00-20.00