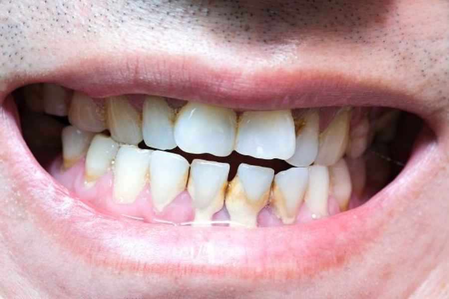
Gigi Sudah Berkarang? Ini Solusinya

Gigi berkarang bukan sekadar masalah estetika, tetapi juga bisa berdampak serius
Manfaat Scaling Gigi untuk Kesehatan Mulut

Scaling gigi adalah perawatan penting yang sering dianggap sepele padahal manfaatnya sangat besar
Makan Gula Buat Sakit Gigi? Ini Faktanya

Makan gula bukanlah penyebab utama sakit gigi, tetapi bisa menjadi pemicu
3 Bahan Alami yang Bisa Putihkan Gigi

Menggunakan bahan alami seperti baking soda, minyak kelapa, dan stroberi