
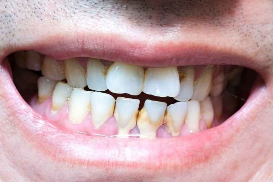
Gigi terasa kasar saat disentuh lidah, warna kekuningan di sela gigi, atau bau mulut yang tidak kunjung hilang bisa menjadi tanda gigi sudah berkarang. Masalah ini sering dianggap sepele, padahal jika dibiarkan bisa memicu gangguan kesehatan mulut yang lebih serius. Konsultasi ke dokter gigi Malang adalah langkah tepat untuk mengatasi karang gigi secara aman dan efektif.
Karang gigi adalah plak yang mengeras akibat sisa makanan dan bakteri yang tidak dibersihkan secara optimal. Plak yang awalnya lunak akan mengeras karena mineral dari air liur, sehingga tidak bisa dihilangkan hanya dengan menyikat gigi biasa.
Beberapa kebiasaan berikut tanpa disadari mempercepat terbentuknya karang gigi:
Karang gigi bisa terbentuk di atas maupun di bawah garis gusi. Jika sudah mencapai area bawah gusi, risiko peradangan dan gusi berdarah akan semakin tinggi.
Banyak orang baru ke dokter gigi saat gigi terasa nyeri. Padahal, karang gigi sering kali tidak menimbulkan rasa sakit di awal.
Oleh karena itu, perawatan sejak dini bersama dokter gigi Malang sangat disarankan untuk mencegah kerusakan yang lebih luas.
Karang gigi tidak bisa dihilangkan sendiri di rumah. Dibutuhkan tindakan profesional menggunakan alat khusus oleh dokter gigi. Pearls Dental Care di Malang hadir sebagai solusi perawatan gigi dengan pendekatan yang nyaman dan menyeluruh.
Scaling merupakan prosedur pembersihan karang gigi yang dilakukan oleh dokter gigi. Proses ini bertujuan untuk:
Di Pearls Dental Care, scaling dilakukan dengan teknologi modern dan ditangani oleh tenaga profesional sehingga pasien merasa lebih nyaman selama perawatan.
Jika karang gigi sudah memicu masalah lain, dokter gigi akan memberikan rekomendasi perawatan lanjutan seperti tambal gigi, perawatan gusi, atau perawatan lain sesuai kondisi mulut pasien. Pendekatan ini memastikan kesehatan gigi tetap terjaga dalam jangka panjang.
Idealnya, pemeriksaan gigi dilakukan setiap enam bulan sekali. Dengan kontrol rutin, karang gigi dapat dicegah sejak awal dan kondisi gigi bisa terus dipantau.
Datang ke Pearls Dental Care Malang bukan hanya saat gigi bermasalah, tetapi juga sebagai langkah menjaga kesehatan mulut secara keseluruhan.
Gigi berkarang bukan sekadar masalah estetika, tetapi juga bisa berdampak serius pada kesehatan gigi dan gusi. Membersihkan karang gigi secara rutin bersama dokter gigi Malang adalah solusi terbaik untuk mencegah berbagai masalah mulut. Dengan perawatan profesional di Pearls Dental Care Malang, gigi terasa lebih bersih, napas lebih segar, dan senyum kembali percaya diri. Jangan tunggu sampai sakit, rawat gigimu mulai sekarang.
Jl. Melati kav II No.32A, Lowokwaru, Kec. Lowokwaru, Kota Malang, Jawa Timur 65141
Jl. Raya Candi VD No.228, Karangbesuki, Kec. Sukun, Kota Malang, Jawa Timur 65149
Copyright © 2026 Pearls Dental Care | Developed by Gleamore.id
Jl. Melati kav II No.32A, Lowokwaru, Kec. Lowokwaru, Kota Malang, Jawa Timur 65141
Senin-Jumat 09.00-21.00
Minggu 09.00-15.00
Jl. Raya Candi VD No.228, Karangbesuki, Kec. Sukun, Kota Malang, Jawa Timur 65149
Senin-Kamis
08.00-14.00 & 15.00-21.00
Jumat 11.00-21.00
Sabtu 08.00-20.00